본문바로가기
  • HOME
  • 진료안내
  • 진료과

진료과

인간사랑과 생명존중을 실천합니다.

증상 검색

  • 사랑니 치과  
    사랑니란 무엇인가요?
    제3대구치 또는 18세를 전후로 이가 나오므로 성인의 시작이라는 의미에서 영어로는 WISDOM TEETH(지치)라고도 합니다. 사랑니는 둘째 어금니 뒤에 나오는 셋째 어금니의 한 종류이고, 대부분의 사람들에게는 각 치열의 끝에 하나씩 4개의 사랑니가 납니다.

    왜 사랑니를 제거해야만 하나요?
    우리의 턱은 사랑니가 나기에는 너무 작습니다. 그래서 많은 문제들이 발생합니다. 종종, 아랫턱의 사랑니는 앞 치아에 막히는 경우, 맹출 하지 못합니다. 이런 치아를 매복치라고 합니다. 이런 치아는 종종 턱의 뒷부분에 불쾌한 감각을 일으킵니다. 매복된 사랑니 주위의 잇몸에 음식물이 끼게 되면 잇몸을 감염시키게 됩니다. 감염은 잇몸이 붓거나 아프게 되어 느끼게 됩니다. 만약, 윗턱의 사랑니가 부은 잇몸 위를 씹게 되면 더 많은 불편감이 생기게 됩니다. 사랑니에 충치가 생길 수 있고, 사랑니 앞치아의 뒷부분에도 충치가 생깁니다. 이런 충치는 잘 검사되지 않으며, 대부분 치통이 있는 경우에 발견됩니다. 심한경우, 앞치아까지 제거해야 하는 경우도 있습니다. 

    사랑니가 감염된 경우 어떻게 해야 하나요?
    치과의사는 감염된 부위를 청결히 하고, 필요하면 소독제를 바를 것입니다. 감염을 감소시키기 위해 항생제와 진통제를 처방할 것입니다. 윗턱의 사랑니가 부은 잇몸을 씹는 경우에는 치아를 약간 갈아낼 수도 있습니다. 윗턱의 사랑니가 기능을 하지 않는다면, 장기적인 관점에서 치아를 발치하는 것이 좋습니다. 감염이 조절되면, 사랑니를 제거할 수 있습니다. 대부분의 경우에서 발치하기 전에  치아의 모양과 위치를 평가하기 위해서 X-ray를 찍습니다.

    사랑니는 어떻게 제거하나요?
    많은 경우, 치과의사는 국소(부분)마취하에 사랑니를 제거합니다. 마취는 수술 중에 생기는 대부분의 통증을 느끼지 못하도록 해주며, 치아를 제거해낼 때 누르는 감각 등은 약간 있을 수 있습니다. 수술동안, 치아주위의 잇몸을 한쪽으로 옮기고, 제거될 치아 주변의 뼈를 약간 제거해낼 수도 있습니다. 종종, 치아를 제거하기 전에 여러 조각으로 나눌 필요가 있습니다. 그 다음에 잇몸은 제자리에 봉합합니다. 수술 후에 마취가 풀리면 진통제를 드실 필요가 있습니다. 항생제도 감염을 방지하기 위해 같이 주어집니다. 일반적으로 뺨이 약간 부을 수 있으며, 5일간 지속될 수 있습니다. 이런 부종은 턱에 약간의 불편감을 일으킬 수 있습니다. 치과의사는 5-7일 후에 상태를 재평가할 것이며, 이때 봉합사를 같이 제거합니다.

    수술 전 지켜야 할 사항
    1. 심장질환이나 다른 심한 병을 앓거나 앓은 적이 있으면 치과의사에게 알려야 합니다.2. 약에 대한 알레르기가 있는 경우 치과의사에게 알려야 합니다.3. 좋은 식사와 양치질을 합니다. 

    수술 후 지켜야 할 사항
    1. 약간의 피가 스며나오는 것은 정상이며, 예상하고 있어야 합니다. 이것은 창상위에 거즈를 위치시킨 다음 20-30분 동안 물고 있으면 멈춰집니다. 스며나오는 피와 침은 자꾸 뱉지 말고 삼기도록 합니다. 과도하게 양치하지 말고, 창상을 혀로 건드리지 말아야 합니다. 이것은 응고된 혈전을 떨어트려 출혈을 일으킵니다. 만약 출혈이 심하게 된다고   생각되면 치과의사에게 전화하십시오.
    2. 부종을 가라앉히기 위해 하루 이틀정도 얼음찜질을 할 수도 있습니다. 3. 받은 약은 적절한 시간에 복용하십시오.
    4. 부드러운 음식물을 드십시오.
    5. 심한 운동이나 과로를 하지 마십시오.
    6. 술과 담배를 하지 마십시오.
    7. 수술 다음날부터, 식사 후 창상위의 음식물을 제거하기 위해 부드럽게 물로 입안을 헹구고, 입안의 다른 부위는 양치질을 할 수 있습니다.
  • 풍치(치주염)란? 치과  
    풍치(치주염)란?
    풍치는 잇몸을 포함한 치아주위 조직(치조골, 치주인대, 백악질 등)에 급성 또는 만성으로 염증이 생기는 병입니다. 풍치를 치료하지 않고 방치하면 치조골 등의 급속한 파괴로 치아가 움직이고 잇몸(치은)에서 출혈이 계속되어 결국 이가 빠지게 될 수 있습니다. 

    원인
    풍치의 가장 큰 원인은 치석인데, 치석은 음식물 찌꺼기, 세균 및 칼슘 등으로 이루어져 있습니다. 치석은 잇몸 위에서 침착되기 시작하여 잇몸 밑으로 점점 내려가면서 잇몸에 염증을 일으키기 시작하거나, 기존에 있는 염증을 더욱 악화시킵니다. 이렇게 잇몸 밑으로 침착된 치석은 스케일링으로도 쉽게 제거되지 않으며, 염증을 급속히 악화시켜 결국은 치아를 뽑게 되는 상황에 이르게 합니다. 


    증상
    잇몸은 담홍색을 띠며 치아와 치조골(치아를 받치고 있는 뼈)에 단단하게 붙어있습니다. 이 잇몸과 치아가 맞닿는 치아의 치경부에 치석이 부착되면 치석에 있는 세균이 잇몸에 염증을 일으키기 시작합니다. 이 염증이 계속 진행되어 치아의 치경부가 빨강색으로 부어오르면서 고름이 나오고 입냄새가 심하게 나기 시작하며 양치질시 피가 나오게 됩니다. 이와 동시에 치조골이 녹아 없어지게 되어 결국은 치아를 뽑게 됩니다. 

    치료방법
    치주염이 많이 진행되지 않은 상태라면 비수술적인 방법으로도 잇몸건강의 회복이 가능하지만, 많이 진행된 상태라면 치주수술을 해야 합니다. 치은염의 경우는 염증이 치은과 치아 경계부에 국한되어 있으므로 스케일링만으로 간단히 치료할 수 있습니다. 치은염을 치료하지 않은 상태로 계속 방치할 경우 치근 활택술(잇몸치료)이라는 스케일링 보다 조금 더 심도 있는 치료를 필요로 합니다. 치근 활택술은 큐렛이라는 기구를 이용하여 치아 뿌리에 붙어있는 치석 및 여러 원인요소를 제거하는 술식입니다. 풍치가 일단 발생되면 파괴된 치아의 부분은 재생이 되지 않아 뽑아야 하므로 결국 예방이 가장 중요합니다. 

    예방법
    1. 치주염은 조기 예방이 중요한데 언제나 입안을 청결히 하는 것이 우선입니다. 
    2. 식후 칫솔질을 철저히 하며 칫솔질을 할 때 잇몸을 함께 닦아주는 것이 좋습니다. 
    3. 정기적으로 병원에 내원하여 치석을 제거해 주는 것이 안전합니다.
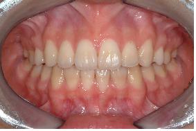
  • 치아교정 치과  
    치아교정이란?
    치아교정치료는 치아와 턱의 위치가 맞지 않을 때 이를 진단하고 치료하는 치과의 한 분야입니다. 치아가 잘 맞물리지 않을 때 전문적인 용어로 부정교합이라고 하며 교정 장치, 기능성 장치를 통해 치아와 턱을 올바른 위치로 맞추어 주게 됩니다.
    치열이 불규칙하게 나는 것을 교정 장치로 다시 배열하여 정상적으로 맞물리도록 하여 아름다운 얼굴모양을 만들고 기능도 정상으로 회복시켜주는 예방 및 치료술이 교정치료이며 진단, 장치 적용에 있어서는 전문적인 기술이 요구됩니다.

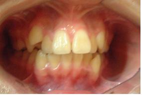
    교정치료를 받아야 하는 경우
    -치아가 삐뚤삐뚤한 경우
      가장 흔한 경우로 삐뚤삐뚤한 치아는 보기도 흉하고 치아 사이에 음식 찌꺼기가 끼기 쉽습니다.

    -치아가 돌출된 경우
      치아가 돌출되면 미관상 좋지 않을뿐더러 치아가 다치기 쉽습니다. 아래 앞니가 과도하게 자라게 되면 입천장을 씹게 될 수도 있습니다.

    -주걱턱에 의해 아래,위 치아가 거꾸로 물리는 경우
      튀어나온 아랫니는 보기도 흉햘 뿐만 아니라 윗니와 잘 맞지 않아 충돌을 일으켜 치아를 손상시키기도 합니다.

    -윗니가 완전히 아랫니를 덮는 경우
      윗니가 아랫니를 완전히 덮으면 윗니 바로 뒤의 입천장이 다칠 수 있고 앞니의 마모를 촉진시킵니다.

    -앞니사이가 떠서 앞니로 씹히지 않는 경우
      음식을 먹을 때 제대로 씹지 못할 수 있으며 말할 때 발음이 새기도 하며 미관상 좋지 않습니다.

    -어금니가 거꾸로 물리는 경우
      윗니는 아랫니를 덮어주어야 하는데, 위턱이 아래턱보다 좁으면 거꾸로 물리게 되어 음식을 제대로 씹지 못할 수 있으며 턱관절에 장애가 생길 수 있습니다.

    -치아가 없는 경우
      주위의 치아를 제 위치로 움직이게 해서 없는 치아의 공간을 만들 수 있습니다. 치아가 없으면 보기 흉해서 마음껏 웃을 수 없겠죠.

    -엄지 손가락을 빨아서 치아가 삐뚤어진 경우
      엄지 손가락을 오랫동안 빨게 되면 치아와 잇몸뼈의 변형을 가져올 수 있습니다.

    -그 밖의 다른 문제들
      음식물을 씹기 어려울 때, 발음이 부정확할 때, 자면서 이를 갈거나 이를 악무는 버릇이 있을 때, 턱이 삐뚤어지거나 턱에서 소리가 날 때

    교정장치의 종류

    메탈 브라켓/세라믹 브라켓/골드 브라켓
    일반적으로 가장 많이 사용되는 방법으로 교정장치를 치아의 바깥쪽면에 붙여서 치아를 움직이는 교정입니다. 금속, 플라스틱, 레진 등의 재료로 된 장치를 부착하게 됩니다. 남의 눈에 띈다는 게 가장 큰 단점이지만 그 반면에 비용이 가장 저렴합니다.

    설측교정은 교정장치를 혀가 있는 안쪽에 붙이는 방법입니다. 따라서 다른 사람이 볼 때 교정장치가 보이지 않습니다.
  • 치아 미백 치과  
    매력적인 미소가 경쟁력인 시대에 밝고 하얀 미소는 원활한 대인관계를 가지게 하며 긍정적이고 적극적으로 보이게 합니다. 이를 위한 치아 미백술은 미백약제의 작용으로 치아를 손상시키지 않으면서 희고 밝게 만드는 방법입니다.

    치아미백의 대상
      치아 색이 선천적으로 어두운 경우
      커피나 흡연에 의해 착색된 경우
      나이가 들면서 변색된 경우
      외상에 의해 검게 변색된 경우
      결혼이나 취업을 앞두고 외모 개선을 원하는 경우

    치아미백 과정
    1. 충치 치료와 스케일링충치 치료는 미백전에 선행되어야 합니다. 치석으로 인해 잇몸에 염증이 있으면 미백 약제에 의해 자극을 받을 수 있으므로 스케일링을 먼저 받아야 합니다.
    2. 맞춤 미백틀(tray) 제작인상을 채득하여(보통 본을 뜬다고 표현합니다.) 모형을 만든 후 그 모형에 맞는 틀을 제작합니다. 틀이 완성되면 직접 장착하여 잘 맞는지 확인합니다. 이렇게 제작된 틀과 치아 미백제를 드립니다.
    3. 미백틀 착용일반적으로 미백틀은 주무시는 동안 착용하게 됩니다. 우선 양치를 하고 미백틀에 정해진 양의 미백제를 도포한 후 치아에 잘 맞도록 끼웁니다. 이때 미백제는 치아의 앞면에 해당하는 부위만 도포합니다. 바깥으로 밀려나온 미백제를 제거한 후에 미백틀을 낀채로 주무시면 됩니다.
    4. 양치 아침에 일어난 후 미백틀을 제거하고 양치질을 합니다. 미백틀을 씻은 후 보관 케이스에 넣어 보관합니다.

    미백치료중의 주의사항
    1) 커피, 홍차, 콜라, 초콜릿, 카레등 착색이 잘되는 음식물은 피해야 합니다.
    2) 미백치료 도중이나 치료 후 2시간 이내의 흡연은 구강 내 발암물질을 유발하므로 삼가 합니다.
    3) 혹여 치아가 저려지는 느낌이나 시린 증상이 나타나면 하루 착용 시간을 줄이거나 격일로 사용하면 보통 증세가 사라집니다.
    - 그래도 시린 증상이 느껴지면 3-4일간 휴식 기간 후 재 착용합니다.
    - 그래도 시린 증상이 느껴지면 중단 후 병원에 문의하시기 바랍니다.
    4) 잇몸의 자극을 줄이도록 부드러운 칫솔과 마모도가 약한 치약을 사용합니다.
    5) 치아미백 후 일시적으로 치아에 백색반점이 나타날 수 있는데 이것은 부위별 미백속도의 차이에 의해서 생기는 것이며 미백이 진행됨에 따라 사라지게 됩니다.
  • 충치의 원인과 치료 치과  
    충치란 무엇인가?

    충치란 오복 중의 하나인 치아에서 가장 흔히 볼 수 있는 대표적인 질환의 하나로 정식 학술 용어로는 '치아우식증'이라고 한다. 
    충치는 입안의 음식물 찌꺼기가 세균에 의해 부패됨으로서 발생하는 산에 의해 치아의 석회 성분이 녹거나 파괴되어 점차 아픔을 느끼게 된 후 치아를 잃게 되는 하나의 세균성 질환이라고 볼 수 있다.
    우리 나라에서는 영구 치아의 충치 이환율이 약 80%에 이르며, 한 사람이 평균 2-3개의 충치를 가지고 있는 것으로 보고되고 있다.   


    충치의 원인
    충치의 원인에 대해서는 여러 학설이 있어 왔으나 아직까지 명확하게 밝혀진 것은 없다. 현재는 구강내 세균에 의한 감염성 질환으로 보고 있다. 
    원인은 여러 가지가 복합적으로 작용하고 있는 것으로 밝혀져 있지만 가장 중요한 것은 치태(프라그)이다. 이것은 점액소나 탈락 상피 세포, 세균 등으로 이루어져 있고, 점착성이 강하여 치아 표면에 잘 부착된다. 
    치태에는 여러 세균이 섞여 있는데, 특히 내산성 연쇄상 구균과 유산균이 많다.
    현재 가장 유력한 충치의 원인 균으로 밝혀지고 있는 이 연쇄상 구균은 당질을 분해하는 능력을 가지고 있으며, 끈적거리는 물질(덱스트란)을 형성한다고 알려져 있다. 
    덱스트란은 불용성으로서 치태가 치아 표면에 잘 붙어 있게 한다. 연쇄상 구균은 설탕으로부터 유기 산과 치태 형성에 필수적인 물에 잘 녹지 않는 다당류를 합성한다. 따라서 치태 중에는 이와 같이 균이 만들어 내는 산이 모여 있기 때문에 이 산에 의해 치아 표면에 화학적 탈회가 일어나서 충치가 생기게 된다.


    충치의 증상
    충치는 치태가 잘 모여 쉽게 빠져나가지 않는 치면 열구나 함몰 부위(음식을 씹는 울퉁불퉁한 면)에서 시작되기 쉬우며 외관상 치아 표면이 검게 변한다. 
    초기에는 단단한 표층 법랑질에 발생한다. 이때에는 특별한 증상이 나타나지는 않는다. 점차 진행이 되어 상아질에 이르게 되면 충치는 더욱 빨리 진행된다. 
    이 상태에서는 차가운 자극에 대해 시린 감각을 느끼게 되고, 점차 통증으로 되기도 한다. 충치가 신경을 침범하여 신경에 염증이나 고름이 생기게 되면 가만히 있어도 심한 통증이 나타나게 된다. 
    이 때에는 뜨거운 자극에는 더욱 통증이 심해지며 차가운 것에는 통증이 잠시 완화된다. 이러한 심한 치통은 수 일간 지속되다가 다소 완화되는 과정을 반복하면서 신경 조직에 생긴 고름이 치아 뿌리 밖으로 나오게 되면 치주염을 유발시킨다. 이런 상태에서는 치아가 솟아올라 음식을 씹을 수 없게 된다.


    충치의 치료
    치아는 한번 파괴되면 다시 재생하지 않기 때문에 충치는 치아를 대신하는 재료로 밀봉해 주어야 한다. 이러한 재료로는 아말감, 복합 레진, 금, 도자기 등이 있다. 이들 재료 중에서 가장 내구성이 좋은 것은 금으로 만드는 인레이(inlay)이다. 

    1. 금 인레이
    금 인레이란 썩은 치아 부위를 입 밖에서 금으로 형태를 만들어서 그 자리에 붙여 넣는 것이다. 
    치아를 수복하는 재료는 신체의 일부가 되기 때문에 독성이 없어야 함은 물론 입안의 침, 음식물 등에 의해 부식이나 변색이 되지 말아야 한다. 금은 이러한 조건에 가장 적합하며 특히 치아의 손상 부위가 넓은 경우에는 씹는 힘을 많이 받기 때문에 잘 부러지지 않는 금으로 치료하는 것이 좋다. 

    2. 아말감 
    아말감은 수은과 은의 혼합물이다. 이 재료는 보험 치료가 가능하며 치료비가 저렴한 반면에 잘 부러지며 오래가지 않는 단점이 있다.

    3. 복합 레진이나 도자기 
    최근에는 복합 레진이나 도자기와 같은 재료를 이용하여 치아와 같은 색으로 치료할 수 있다. 이 재료들은 심미적으로는 우수한 재료이나 어금니 부위에서는 부러지지 않도록 주의하여야 한다. 아말감과 레진은 한 번의 치료로 가능한 경우가 대부분이나 금이나 도자기는 적어도 2-3회 정도 치과 의원에 내원하여야 한다. 

    4. 충치가 신경을 침범한 경우 
    이상의 치료는 단순한 충치인 경우에 시행하는 것으로 비교적 빠른 시간내에 간단히 치료할 수 있다. 그러나 신경이 침범되면 통증이 심할 뿐 아니라 치료도 복잡해진다. 해당 치아는 여러 번에 걸쳐 신경 치료를 시행한 다음 충치 부위를 수복하고 치아가 깨어지는 것을 막기 위해 금관으로 씌워주어야 한다.
  • 충치의 예방 치과  
    충치의 예방
    충치는 적기에 치료해 주는 것도 중요하지만 무엇보다도 예방이 중요하다. 구강 관리에 조금만 신경을 쓴다면 충치는 다음과 같은 방법으로 대부분 예방할 수 있다.

    1. 양치(잇솔질, 칫솔질)
    충치를 예방하는 가장 기본적인 방법은 잇솔질이다. 잇솔질의 기본 목적은 충치의 원인이 되는 음식물 찌꺼기와 치태(프라그)를 제거하는 것이다. 매 식사를 한 직후와 취침 전 하루에 4회씩 잇솔질을 하도록 한다.
    잇솔로 원을 그리면서 모든 치아 면을 골고루 닦아준다. 유아는 태어나자마자 매일 깨끗이 소독된 거즈에 물을 묻혀 가볍게 입안을 닦아 준다. 생후 6-8개월 이후에는 젖니가 나기 시작한다. 이 때부터는 잇솔질을 병행해 준다. 처음에는 아기가 치약을 삼킬 수 있으므로 치약이 없이 잇솔질을 하거나, 삼켜도 자극적이고 해롭지 않은 어린이용 치약을 사용할 수 있다.

    2. 식이조절
    충치는 설탕과 같은 당분이 가장 중요한 원인이기 때문에 충치를 예방하기 위해서는 당분의 섭취를 줄이는 것이 필요하다. 사탕, 초코렛, 비스켓, 설탕, 청량음료 등을 피하고 야채나 과일 등과 같이 섬유질이 많은 음식을 섭취하도록 한다.


    어린이 충치의 예방
    1. 치면열구전색(sealant)
    충치의 약 50%는 어금니의 씹는 면에서 발생한다. 어금니의 씹는 면은 눈으로는 쉽게 볼 수 없을 정도의 가느다란 틈새(열구)와 작은 구멍(소와)들이 있는데 이곳에는 치태(세균막)와 음식물 찌꺼기가 잘 끼고 잇솔질에 의해서도 잘 제거되지 않아 치아의 다른 표면에 비해 충치가 발생될 위험이 8배나 높다.

    치면열구전색 치료는 치과에서 할 수 있는 치료로서 다른 방법에 비해 예방 효과가 매우 높다. 좁고 깊은 열구와 소와를 플라스틱 계통의 복합 레진으로 메꾸어 세균이나 음식물 찌꺼기가 끼지 못하게 함으로써 충치가 생길 만한 틈을 미리 막아주는 치료다.
    치면열구전색 치료는 유치와 영구치 모두에 시행할 수 있는데 일반적으로 주된 대상 연령층은 5세부터 영구치열이 완성된 후 약 1-2년이 지난 때까지인 약 15세까지 이다.

    특히 다음의 경우 치면열구전색 치료를 받으면 좋다.
    ① 새로난 어금니를 지닌 10대 초반의 아동
    ② 충치의 발생률이 높은 아동
    ③ 씹는 면에 소와, 열구가 깊은 치아를 가진 아동

    2. 불소
    불소는 세균에 의해 형성된 산에 대하여 치아가 잘 견디도록 해주며 치아를 강하게 해주어 충치를 예방하는 작용을 한다. 수돗물 불소화, 불소 겔, 불소 함유 치약, 불소 함유 비타민 등이 충치를 예방하는 목적으로 사용되고 있다.

    (1) 수돗물 불소화
    이 방법은 우리가 매일 마시는 수돗물에 우리 몸에는 해롭지 않으면서 충치를 예방할 수 있는 농도로 불소를 주입하는 것이다. 가장 저렴한 비용으로 가장 많은 사람에게 혜택을 줄 수 있는 방법이다. 선진 각국에서는 이미 오래 전부터 시행하고 있으며 국내에서는 진해, 청주 등에서 시범적으로 시행되어 좋은 충치 예방 효과를 얻은 바 있다. 최근에는 지방자치단체를 중심으로 수돗물 불소화 사업이 진행되고 있다.

    (2) 불소 겔
    겔 형태의 불소 사용은 작용 시간이 길고 치아 사이에 오랫 동안 접촉할 수 있어 충치 예방 효과가 우수한 것으로 알려져 있다. 특히 교정 장치 주위에도 쉽게 오랫 동안 도달할 수 있어 교정 환자의 충치 예방에 효과적이다. 만 2-3세부터 매년 치과에 내원하여 정기적으로 고농도의 불소를 치아에 발라준다. 치면열구전색이 씹는 면의 충치를 예방하는 것이라면 불소겔 도포는 편평한 면의 충치도 예방해 준다. 불소 겔 도포의 우식 예방 효과는 맹출된지 오래된 치아보다는 방금 맹출된 치아의 경우에 더 효과적이다.

    (3) 불소 함유 비타민
    유아의 1일 권장 필수 비타민 9가지와 불소가 함유된 제재를 출생 직후부터 복용하는 방법으로서 충치 예방에 큰 효과를 나타낸다. 여기에는 뼈와 잇몸 형성에 중요한 비타민 A, C, D가 들어 있어 영양 공급도 동시에 해준다.
  • 임플란트란 치과  
    임플란트란?
    인공치아 이식을 말합니다. 곧 임플란트는 치아가 없는 곳에 인공치아를 심는 것이며, 턱뼈에 특수 처리된 티타늄 기둥을 심고 그 위에 치아모양의 보철물을 연결하여 줌으로써 외관상으로 보아도 자기 이와 거의 같으며 기능적으로도 거의 자기 이처럼 씹을 수 있게 해주는 치료를 임플란트 치료라 합니다. 



    임플란트의 장점
    일반 보철물(브릿지)처럼 빠진 이의 앞 뒤 치아를 갈아서 손상시키지 않아도 됩니다. 앞 뒤 치아를 갈아서 만든 보철물이 아니므로 씹을 때 시큰거리는 느낌이 없습니다. 틀니처럼 뺐다 꼈다 하는 불편함이 없습니다. 틀니를 하고 음식을 먹을 때 보다 맛을 훨씬 잘 느낄 수 있습니다. 틀니처럼 잇몸이나 입천장을 덮지 않으므로 이물감이 거의 없습니다. 틀니를 하고 씹을 때 보다 5-7배 더 강하게 씹을 수 있습니다


    임플란트의 단점
    초기 치료비가 많이 듭니다. 그러나 자연치아를 손상시키지 않으며 일반 보철물에 비해 상대적으로 오랜기간 사용할 수 있다는 점을 생각하면 장기적으로는 오히려 경제적으로 이득이라고 생각됩니다.
    수술이 필요합니다. 적절한 마취하에 시술하는 경우 수술 중 통증이 거의 없고 TKS랑니 한를 빼는 것보다 간단한 수술이므로 크게 걱정할 일은 아닙니다.

    치료기간이 다소 깁니다. 임플란트는 일반 보철에 비해 3-6개월 정도 임플란트와 뼈가 붙는 기간이 필요하므로 다소 치료기간이 길다고 할 수 있습니다.


    임플란트가 필요하신 분
    -치아가 부분적으로 빠진 경우 양쪽 치아를 갈아 끼우는 브릿지를 하기 싫으신 분
    -어금니 2-3개가 빠져 부분 틀니를 하기 싫으신 분
    -전부 틀니를 사용하시는 것이 불편하신 분
    -틀니를 사용하시는 분들 중에 잘 씹히지 않거나 자주 탈락 되는 불편감이 있으신 분
    -선천적으로 치아가 나지 않아 치아 개수가 모자라시는 분
    -통상적으로 발치되어 치아가 없는 부분은 임플란트로 대치하는 것이 바람직합니다.


    치료방법
    1. 진단 및 치료계획 수립 
    특수 X-ray를 이용한 뼈의 상태 및 전신 상태를 평가하고 치료계획을 수립합니다. 

    2. 1차 수술 
    티타늄 기둥을 턱뼈에 심는 과정으로 잇몸을 열고 정확한 위치에 정확한 각도로 심은 후 다시 잇몸을 덮게 됩니다. 일반적으로 아래턱의 경우 약 3-4개월, 윗턱의 경우 약 6개월 정도 치유기간이 소요됩니다. 

    3. 2차 수술 
    잇몸 밖으로 기둥을 연결하여 앞으로 보철물이 장착될 수 있게 해 주는 과정으로 최근에는 이 과정을 생략하기도 합니다. 

    4. 보철물 제작 
    본을 떠서 최종 보철물을 장착 하는 임플란트 치료의 마지막 과정입니다.
  • [동아일보] 당뇨환자는 발을 반드시 잘라야 한다? 신장내과  
    당뇨 합병증으로 인해 발을 절단하는 환자 중 상당수는 제 때 의사를 찾지 않아 상태가 악화된 뒤에 절단 수술을 받는 것으로 나타났다.

    미국 족부의학회(APMA)가 당뇨병을 앓고 있거나 가족 중에 당뇨병 환자가 있는 흑인과 히스패닉, 백인 등 성인 남녀 600명을 대상으로 조사한 결과 이 중 발 절단 수술을 받은 응답자 중 25%는 "보다 일찍 의사를 만나 진단을 받았어야 했다"고 후회하는 것으로 나타났다.

    절단 수술을 받은 응답자의 30%는 "발에 빨간 점이 나타나는 등 전조 증상에 보다 관심을 기울이면 의사를 만날 시기를 잘 알 수 있었을 것"이라고 응답했다.

    조사 대상자의 75%는 당뇨병 환자였으며 25%는 가족 중에 당뇨병 환자가 있는 등 당뇨병에 걸릴 확률이 높은 것으로 판단되는 집단이었다.

    특이한 점은 통념과 달리 특히 백인들이 절단 수술을 많이 받는 다는 것.

    응답자 중 다리 절단 수술을 받은 사람은 백인이 7%, 흑인은 3%, 히스패닉 계열은 2%에 불과했다.

    로스 타웁만 APMA 회장은 "이번 조사 결과는 사회 계층을 막론하고 당뇨병 환자들이 발에 관심을 기울이지 않으면 심각한 결과를 초래할 수 있다는 점을 시사한다"며 "당뇨병 환자들은 반드시 정기 검진 때 발 검사도 받아야 한다"고 설명했다.

    나성엽 기자 cpu@donga.com
    ---------------------------------------

    당뇨병 환자들에서 가장 두려운 합병증 중 하나인 당뇨발 때문에 절단을 하는 경우가 적지 않습니다.
    이들 중 많은 수가 조기에 진료를 받지 않았기 때문에 원치않는 결과를 겪게 된다는 것이 본 기사에서 주목할 점입니다.

    당뇨발 뿐 아니라 당뇨병의 모든 합병증들이 조기에 진단이 되지 않았기 때문임을 강조하고 싶습니다.

    콩팥 합병증 역시 증상이 없을 때부터 검사하고 치료해야 투석에 이르지 않고 건강하게 유지할 수 있음을 명심해야 겠습니다.
  • 방광암이란? 비뇨의학과  
    방광암이란?
    신장에서 만들어진 소변을 배설하는 통로인 신장의 신배, 신우 그리고 요관, 방광의 가장 안쪽 층인 점막은 동일한 세포 (이행상피세포)로 구성되어 있고, 소변에 접촉하고 있다는 공통점을 가지고 있으며, 여기에서 생기는 암들을 이행상피세포암 혹은 요로상피종양이라고 하며 위치에 따라서 신우암, 요관암 그리고 방광암이라고 하며 이들의 성격은 매우 유사합니다. 빈도로 보아 그 중에서는 방광암이 가장 흔합니다. 즉 방광암의 대부분(90% 이상)은 이행상피세포암이며, 우리나라에서는 비뇨생식기에 발생하는 암 중에서 가장 흔하여 인구 10만 명당 남자는 7.76명, 여자는 1.19명이 발생합니다. 우리나라 남자에서 발생하는 암 중에서는 4번째로 흔한 암이 방광암입니다. 방광암의 발생원인으로 가장 중요한 것은 흡연입니다. 남자 환자의 50%, 여자 환자의 31%가 흡연과 연관되어 있습니다. 그 이유는 흡연할 때 체내로 흡수되는 발암물질이 소변으로 배출되어 방광에 계속 접촉을 하게 되므로 암이 발생하게 됩니다. 흡연자가 비흡연자에 비해 4배나 위험성이 높으며, 흡연량이 많을수록, 흡연한 기간이 길수록 암의 발생 가능성이 증가하며, 흡연을 중단한 기간이 길수록 그 가능성이 적어집니다.


    증상
    방광암의 가장 흔한 증상은 소변에 피가 나오는 무통성의 혈뇨입니다. 대부분의 환자에게 육안적 혈뇨가 나타나고 일부에서는 소변검사에서만 혈뇨가 나타나기도 합니다. 빈뇨, 요급, 야간뇨 등의 방광 자극증상이 나타나는데 이런 증상들은 급성 방광염에서도 나타나기 때문에 감별이 쉽지 않습니다. 진행시 체중감소, 뼈의 통증, 수신증에 의한 측복통 등 전이 부위에 따라 특이한 증상이 생길 수 있습니다.


    진단
    소변검사와 요세포검사, 방광내시경, 배설성 요로조영술, CT 등으로 진단할 수 있습니다.


    치료
    1. 수술요법
    방광의 점막에 국한된 표재성 종양의 경우, 병소가 작은 경우에는 요도를 통해서 경요도방광암 절제술을 시행할 수 있습니다.
    그러나 암세포가 방광벽에 침윤되었을 때는 근치방광 절제술이 시행됩니다. 
    2. 방사선 요법
    X선을 암부위에 쬐어 주는 요법으로 진행된 암일 경우에 사용합니다. 최종적인 치료로서 방사선 요법이 사용될 때는 침윤성 방광암 환자의 16~30%만 치유될 수 있습니다.

    3. 화학 요법
    침윤되지 않는 방광암의 경우 방광 속에 약물을 집어넣어 암 세포를 죽이는 치료방법을 씁니다. 침윤성 방광암으로 3기이상의 환자에서는 항암제로 치료해야 합니다. 
  • 정계정맥류란? 비뇨의학과  
    정계정맥류란?
    고환의 정맥순환 장애로 정맥피가 고여 정맥이 늘어나는 질환으로 통증, 고환의 위축을 유발하여 오랜 기간동안 방치하는 경우 남성불임을 일으킬 수도 있는 질환으로 남성의 15%에서 생길 수 있습니다.

    원인 
    태아일때 고환은 복부의 신장 근처에 위치하다 분만 무렵 점차 음낭으로 하강하게 됩니다. 이때문에 고환의 혈관은 신장과 가깝운 큰 정맥으로 이어지게되어 있으며 특히 왼쪽 고환정맥은 길이가 더 길고 신장정맥과 직각으로 연결되어 우측 고환 정맥들에 비해 수직으로 혈액을 운반하게 됩니다. 만약 정맥 판막의 이상이 발행하는 경우 정맥내의 혈액이 정체되어 정계정맥류가 발생하게 됩니다..

    증상 
    대표적인 증상은 음낭의 늘어난 정맥에 의해 만져지는 종물입니다. 대개 지렁이가 얽혀 있는 것처럼 만져지거나 아랫배에 힘을 주면 정맥이 늘어나 만져질 수 있습니다. 또한 대개 오후나 저녁때 늘어난 정맥 때문에 고환부위의 불편감을 호소하는 경우도 많고 불임검사를 위해 병원방문시 발견되는 경우도 있습니다.

    진단
    일차적인 진단방법은 비뇨기과의사가 고환을 촉지하고 아랫배에 힘을 준후 육안으로 고환을 관찰하여 정맥류의 정도를 확인할 수 있습니다. 그러나 확인되지 않는 경우 고환 초음파로 정맥의 상태와 고환의 상태를 확인할 수 있습니다.

    치료
    가장 좋은 치료는 기능이 떨어진 정맥을 제거하는 방법입니다. 문제가 되는 정맥을 제거하더라도 주위의 정상적인 측부 정맥을 통해 혈액의 이동에는 이상이 없습니다. 최근에는 복강경 수술로 간단히 제거 할 수 있습니다.